Recommandations post-opératoires
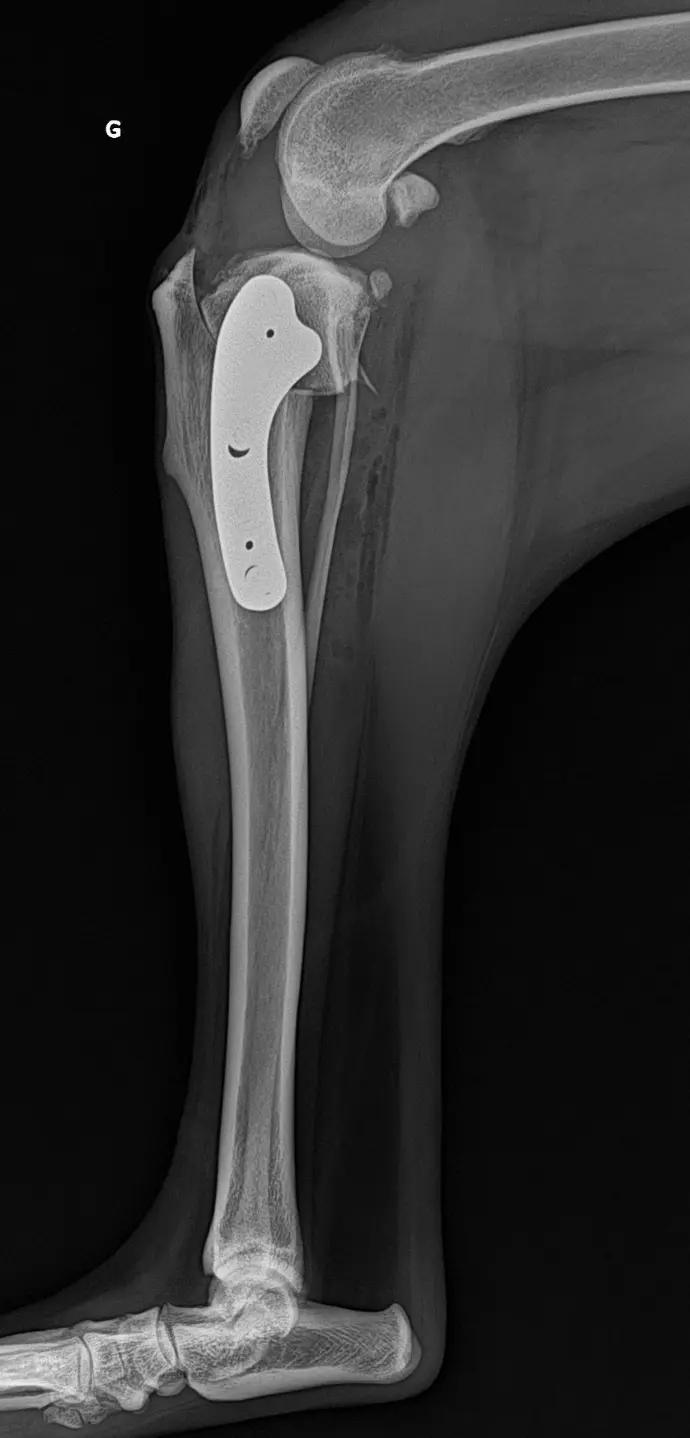
Rupture du ligament croisé antérieur
- Repos strict pendant 6 semaines : garder votre animal en cage.
- Pas de saut ni de jeux, courtes sorties en laisse uniquement pour les besoins.
- Un gonflement du tarse, un sérome et un hématome peuvent être observés et ne sont que transitoires. Contacter votre vétérinaire en cas d’anomalie observée.
- Ne pas laisser votre animal lécher le pansement ou les sutures, maintenir la collerette jusqu’au retrait des points
- Les pansements peuvent se décoller et tomber dans les prochains jours, ils ne doivent pas être renouvelés.
- Retrait des points dans 12-14 jours chez votre vétérinaire traitant.
- Contrôle radiographique dans 6 semaines (et au besoin dans 3 mois selon la cicatrisation osseuse).


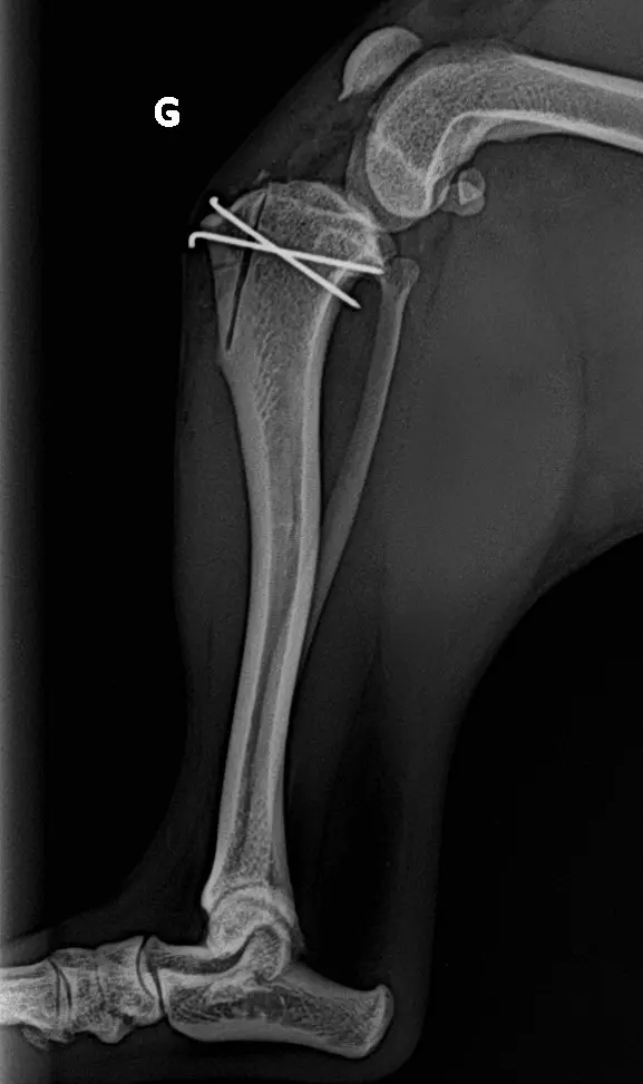
Luxation médiale de la rotule
- Repos strict pendant 4 semaines : garder votre animal en cage.
- Pas de saut ni de jeux, courtes sorties en laisse uniquement pour les besoins.
- Ne pas laisser votre animal lécher le pansement ou les sutures, maintenir la collerette jusqu’au retrait des points
- Les pansements peuvent se décoller et tomber dans les prochains jours, ils ne doivent pas être renouvelés.
- Retrait des points dans 12-14 jours chez votre vétérinaire traitant.
- Contrôle radiographique dans 4 semaines
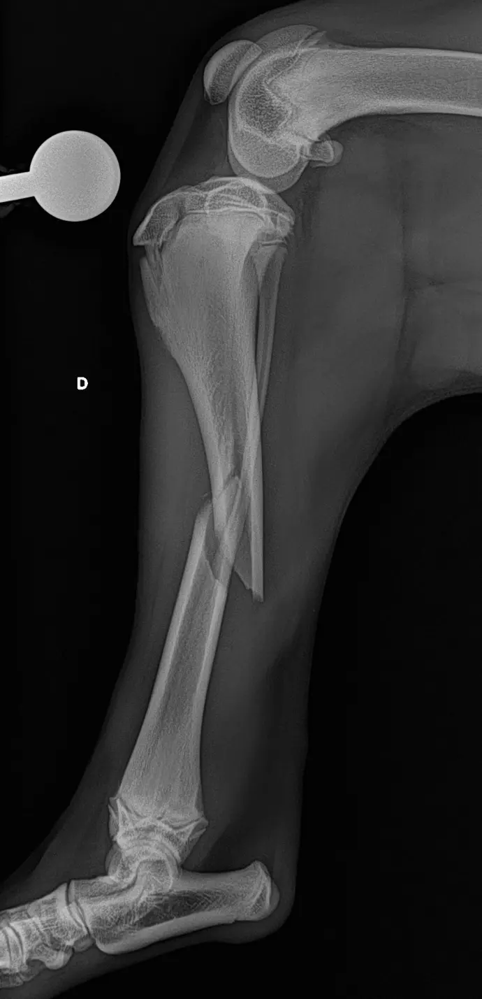
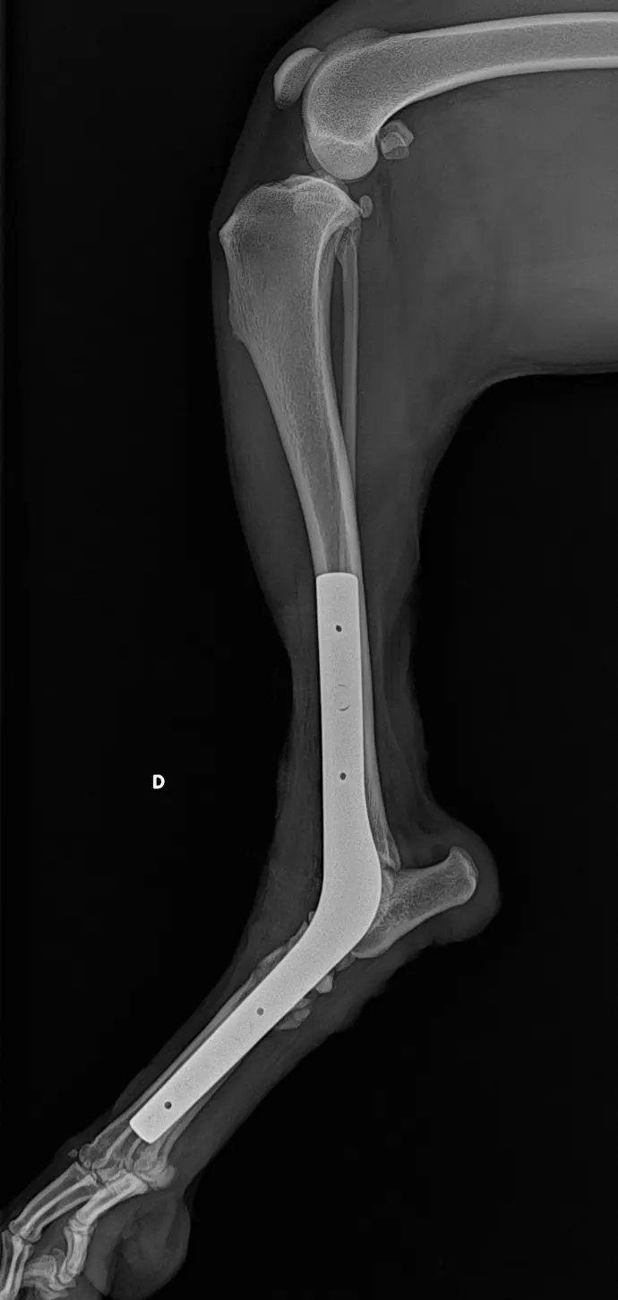
Fracture
- Repos strict pendant 4 à 6 semaines : garder votre animal en cage.
- Pas de saut ni de jeux, courtes sorties en laisse uniquement pour les besoins.
- Ne pas laisser votre animal lécher le pansement ou les sutures, maintenir la collerette jusqu’au retrait des points
- Les pansements peuvent se décoller et tomber dans les prochains jours, ils ne doivent pas être renouvelés.
- Retrait des points dans 12-14 jours chez votre vétérinaire traitant.
- Contrôle radiographique dans 4 à 6 semaines (et au besoin dans 3 mois selon la cicatrisation osseuse).

Luxation de la hanche
- Repos strict pendant 2 à 3 semaines : garder votre animal à l’intérieur, en cage dans l’idéal.
- Pas de saut ni de jeux.
- Courtes sorties en laisse uniquement pour les besoins.

Arthrodèse
- Repos strict pendant 6 semaines : garder votre animal en cage.
- Pas de saut ni de jeux, courtes sorties en laisse uniquement pour les besoins.
- Ne pas laisser votre animal lécher le bandage ou les sutures, maintenir la collerette jusqu’au retrait des points si nécessaire.
- Contrôle dans 12-14 jours : retrait du bandage, contrôle de la cicatrisation, retrait des points.
- Contrôle radiographique dans 4 à 6 semaines et dans 2 à 3 mois selon l’évolution de la fusion osseuse.
